Ponentes
Enrico Cassai
Italia
CURSO PRESENCIAL
Retratamiento de Endodoncia Avanzada
(0 reseñas)
Fecha: 2026-09-17
Modalidad:CURSO PRESENCIAL
Idioma:
Traducciones:
Duración: 3 days
Detalles del curso
RETRATAMIENTO DE ENDODONCIA AVANZADO (CURSO DE 3 DÍAS)
FECHA: 17m 18 y 19 de septiembre de 2.026
LUGAR: Studio dentistico Dott Enrico Cassai. Via M.Tassini 4 int 5 44121 Ferrara Italy
PRIMER DÍA (TEORÍA)
Horario del día: 09 am - 06 pm
SEGUNDO DÍA (PRÁCTICA)
Horario del día: 09 am - 06 pm
Ejercicio sobre dientes debidamente preparados con anterioridad por el Staff del Dr. Cassai de:
TERCER DÍA (EN VIVO EN PACIENTE)
Horario del día: 09 am - 02 pm
Presentación del caso de retratamiento que el Dr. Cassai abordaría bajo el microscopio. Los médicos podrían seguir directamente en vivo cada paso clínico en diferentes monitores.
Al final del tratamiento habrá una discusión abierta con todos los participantes.
FECHA: 17m 18 y 19 de septiembre de 2.026
LUGAR: Studio dentistico Dott Enrico Cassai. Via M.Tassini 4 int 5 44121 Ferrara Italy
PRIMER DÍA (TEORÍA)
Horario del día: 09 am - 06 pm
- Justificación de los Retratamientos: indicaciones y contraindicaciones y alternativas
- Reapertura de cámara pulpar: uso de Puntas Ultrasónicas
- Eliminación de diferentes postes: postes atornillados, de fibra y colados
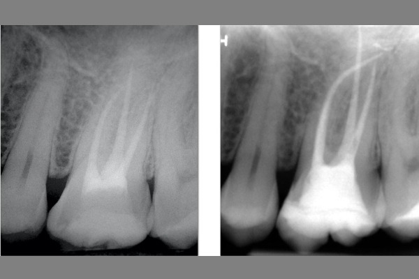
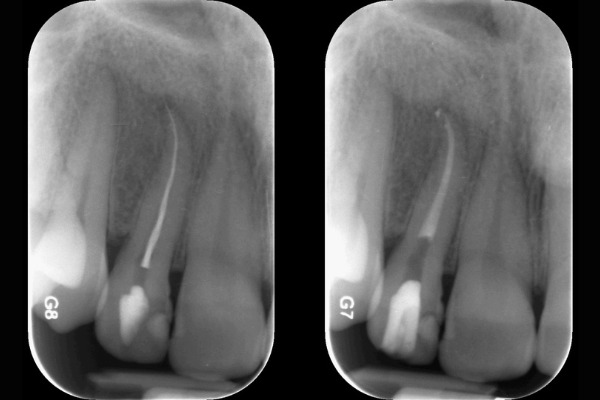
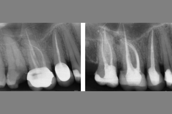
- Eliminación de obturaciones de conductos anteriores: pastas, cementos, gutapercha, conos de plata y Thermafil
- Superación de obstáculos del canal: tapones, escalones y falsos caminos
- Retiro o superación de instrumentos fracturados: IRS, Kit de Cancellieri e insertos de microscopía ultrasónica ProUltra 6,7,8.
- El microscopio quirúrgico: posiciones de trabajo, ventajas de visión y aumento
- Aplicaciones clínicas de la MTA: tratamiento de perforaciones, cierre de ápices abiertos.
SEGUNDO DÍA (PRÁCTICA)
Horario del día: 09 am - 06 pm
Ejercicio sobre dientes debidamente preparados con anterioridad por el Staff del Dr. Cassai de:
- Reingreso al canal
- Extracción de un tornillo endocanal y un poste de fibra de carbono
- Vaciado de canal en casos con gutapercha, cemento o Thermafil
- MTA: relleno de perforaciones y vértice abierto
TERCER DÍA (EN VIVO EN PACIENTE)
Horario del día: 09 am - 02 pm
Presentación del caso de retratamiento que el Dr. Cassai abordaría bajo el microscopio. Los médicos podrían seguir directamente en vivo cada paso clínico en diferentes monitores.
Al final del tratamiento habrá una discusión abierta con todos los participantes.
Precio e inscripción
Hasta el 31-01-2026
Este curso permite pago fraccionado
Ponentes
Enrico Cassai
Italia
El Dr. Cassai se graduó cum laude en Odontología y Prótesis Dental en la Universidad de Ferrara en 1999.
Es miembro de Styleitaliano.
Es miembro activo de la Sociedad Italiana de Endodoncia (SIE) y de la Asociación Italiana de Odontología Microscópica (AIOM).
Es miembro asociado de la Asociación Americana de Endodoncia (AAE) y de la Sociedad Europea de Endodoncia (ESE).
Fue secretario de SERE la sección Emilia Romagna de SIE para el año 2015-2017.
Fue miembro de la comisión cultural del SIE para el año 2017-2019.
Es miembro de la Comisión de Aceptación de Miembros de la SIE para el año 2019-2020.
En 2004 el Dr. Cassai fue Preceptor en el Departamento de Endodoncia de la Universidad de Loma Linda (California). Asistió a la sala del Dr. M. Torabinejad, al centro de cursos del Dr. Cliff Ruddle y al centro de cursos del Dr. Stephen Buchanan en Santa Bárbara (California).
Ha dado conferencias en cursos y congresos tanto en Italia como en el extranjero como conferencista y es autor de varias publicaciones en revistas científicas internacionales.
Trabaja en la práctica privada en Ferrara, particularmente comprometido con la endodoncia clínica, la cirugía microscópica y la odontología restauradora estética.
El Dr. Cassai también es profesor contratado de Endodoncia en la Universidad de Ferrara (AY 2004-2010 y 2013-2018).
Es miembro activo de Style Italiano Endodontics.
Es miembro de Styleitaliano.
Es miembro activo de la Sociedad Italiana de Endodoncia (SIE) y de la Asociación Italiana de Odontología Microscópica (AIOM).
Es miembro asociado de la Asociación Americana de Endodoncia (AAE) y de la Sociedad Europea de Endodoncia (ESE).
Fue secretario de SERE la sección Emilia Romagna de SIE para el año 2015-2017.
Fue miembro de la comisión cultural del SIE para el año 2017-2019.
Es miembro de la Comisión de Aceptación de Miembros de la SIE para el año 2019-2020.
En 2004 el Dr. Cassai fue Preceptor en el Departamento de Endodoncia de la Universidad de Loma Linda (California). Asistió a la sala del Dr. M. Torabinejad, al centro de cursos del Dr. Cliff Ruddle y al centro de cursos del Dr. Stephen Buchanan en Santa Bárbara (California).
Ha dado conferencias en cursos y congresos tanto en Italia como en el extranjero como conferencista y es autor de varias publicaciones en revistas científicas internacionales.
Trabaja en la práctica privada en Ferrara, particularmente comprometido con la endodoncia clínica, la cirugía microscópica y la odontología restauradora estética.
El Dr. Cassai también es profesor contratado de Endodoncia en la Universidad de Ferrara (AY 2004-2010 y 2013-2018).
Es miembro activo de Style Italiano Endodontics.
Reseñas
0 Valoraciones